072 580 6122
Expert Dental Care in Pretoria

We Create Happy,
Healthy Smiles

Providing world-class dentistry across Montana, Brooklyn, and Madelief with a focus on patient comfort and surgical precision.

Smile Dental Care

We Create Happy, Healthy Smiles

Welcome to Smile Dental Care. Our caring dentists and staff understand that every patient has different needs, and we pride ourselves on treating each person on an individual basis. We believe that the more information you have, the more aware you become of your options; you always have a choice on how you want to be treated.

We also understand that many people suffer from severe dental anxiety, and we are dedicated to making you feel as comfortable as possible. Our gentle and friendly approach ensures an enjoyable and relaxed dental experience.

Every dental procedure is undertaken with the utmost care, skill and attention to detail. We treat you the same way we would like our family members to be treated, and work hard to exceed your expectations.

Straighten Your Smile
Without Braces

Active Aligners work on basic orthodontic principles. They apply precise and specific forces to move individual teeth in their desired directions.

Virtually invisible and removable for eating.

Shorter treatment times than traditional braces.

Interior

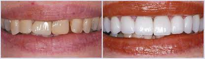
Transformative Results

Our clinical excellence speaks for itself. Explore these real patient transformations from our clinics.

Crown & Veneers

Restoration of front tooth aesthetics and function.

Aesthetic Fillings

Seamless integration using high-grade composite materials.

Full Reconstruction

Comprehensive overhaul for a perfectly aligned bite.

World Class Dental Services

We utilize the latest Swiss and German dental technology to ensure your treatments are pain-free and effective.

Modern Clinical Environment

Equipped with state-of-the-art diagnostic equipment.

Hygienic Excellence

Maintaining the highest standards of sterilization and safety.

General Care

Comprehensive check-ups, digital X-rays, and specialized oral hygiene treatments to keep your natural teeth healthy.

  • Scaling & Polishing
  • White Fillings
  • Wisdom Tooth Removal

Cosmetic Dentistry

Design your dream smile with our custom-crafted porcelain veneers and advanced whitening systems.

  • E-Max Veneers
  • Professional Whitening
  • Smile Makeovers

Orthodontics

Modern solutions for teeth alignment for both adults and children, featuring Active Aligners.

  • Clear Aligners
  • Braces Consultations
  • Retainers

Medical Aid Partners

List of our Medical Aid Partners. Please note that we accept all medical aids in South-Africa. If your medical aid doesn't show up on this list it does not mean that we do not accept it.

Bestmed
Carecross
MMI Dental
Denis
Alliance Midmed
Bonitas
Enablemed
Keyhealth
Medihelp
Medshield
PG Group
Sizwe
Thebemed
DRC
Affinity
Black bird
Discovery KeyCare
Drum
EEBS
Essentialmed
Fedhealth
Furnmed
Genric
Hosmed
LA Health
Liberty Medicall
Moto Health
Nufawsa
Profmed
Remedi
Transmed
Topmed
Stratum
Wesmart
Discovery
Bankmed
Camaf
La Health
Massmart
Medscheme
AECI
Barloworld
Gems
Horizon
Mbmed
Namibie
Nedgroup
Old Mutual
Parmed
SABC
Samwumed
Sasolmed
Polmed
Swaziland
Momentum
Netcare
Opmed
Platinum Health
Pick 'n Pay
Rand Water
Resolution Health
Resomed
SABMAS (SAB)
Spectramed
SpesBona
Umvuzu Health
Wooltru
Imperial med
Liberty
Keycare
Partner Logos

Our Locations

We have three strategically located branches in Pretoria to serve you better.

Flagship Office

Brooklyn

92 Stella St, Brooklyn, Pretoria, 0181

012 346 0000
Mon-Fri: 08:00 - 17:00

Montana

Wingtip Crossing Shopping Centre, Cnr Dr Swanepoel & Klippan St, Montana, Pretoria

012 548 1000
Mon-Fri: 08:00 - 17:00

Madelief

Shop 7 Madelief Shopping Centre, Dorandia, Pretoria

012 546 0000
Mon-Fri: 08:00 - 17:00

Secure Your Appointment

Quick, easy, and secure. Choose your branch and clinical specialist.

Instant Notification
POPIA Compliant
Need help? Call 072 580 6122